Une citation
« On est intelligent aussi avec la tête des autres. »
H. Caillavet
Une image

Voir l’image de plus grande taille
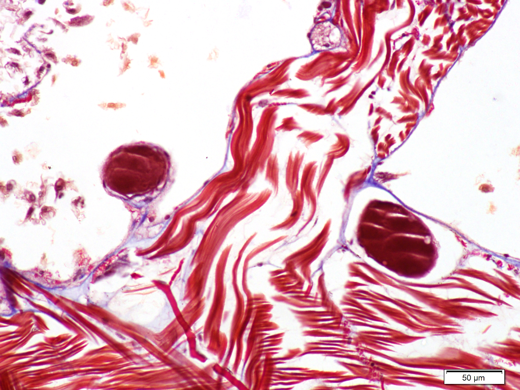
L’image de la semaine 44-2018 provient de l’observation d’une coupe histologique à l’objectif x20 du microscope photonique.
Elle comporte dans sa région inférieure une structure fibreuse émettant un prolongement oblique vers l’angle supérieur droit. De part et d’autre, deux espaces semblant vides sont visibles.
La structure fibreuse inférieure, de même que sa projection oblique, est principalement formée d’unités allongées et homogènes, contenant parfois une masse ovale légèrement plus sombre. Des unités d’organisation similaire mais de forme circulaire ou légèrement anguleuse sont également présentes.
Il s’agit de sections de fibres ou cellules musculaires lisses, respectivement longitudinales, transversales voire obliques. Les masses ovales qu’elles contiennent correspondent à des noyaux.
L’image apparaît ainsi constituée de deux cavités isolées par une cloison de nature musculaire. Au contact des cavités, la musculature est recouverte d’une fine tunique fibreuse surmontée d’un étroit liseré continu portant localement de légers renflements.
Il s’agit d’une tunique de tissu conjonctif fibreux bordée d’un épithélium de revêtement simple et pavimenteux.
Dans la tunique de tissu conjonctif sont enchâssées de volumineuses structures circulaires dont le contenu est, selon les cas, homogène ou hétérogène.
Elles correspondent à des coupes transversales de vaisseaux sanguins pour les premières et de nerfs pour les secondes.
Les cavités isolées par la cloison contiennent des unités isolées, de dimensions relativement réduites mais de formes diverses. Il s’agit de cellules libres suggérant que les cavités contiennent un liquide corporel.
Une telle organisation est caractéristique du corps des Annélides, en l’occurrence du Lombric, décrite dans l’article de la semaine 41-2018 de Codex virtualis.
Il est constitué de segments successifs appelés métamères, contenant chacun une cavité liquidienne dite cavité cœlomique.
Le liquide dont les cavités cœlomiques sont remplies contient des cellules libres, les cœlomocytes. Les articles des semaines 37-2018, 38-2018, 39-2018 et 40-2018 les illustrent.
Un épithélium simple pavimenteux reposant sur du tissu conjonctif fibreux délimite les cavités cœlomiques. Sa région située au contact de la paroi corporelle porte le nom de somatopleure, elle est montrée dans l’article de la semaine 43-2018.
Il tapisse également les dissépiments, cloisons musculeuses isolant les métamères et dont la musculature est une extension des muscles pariétaux circulaires décrits dans l’article de la semaine 42-2018.
L’image de la semaine 44-2018 représente ainsi une partie de coupe longitudinale de Lombric, correspondant à la région ventrale. Le dissépiment la traversant apparaît formé de fibres musculaires circulaires, radiales et obliques, ce qui explique les diverses sections de fibres observées.
Pour en savoir plus, consulter :
• les pages Premiers pas histologiques de Codex virtualis (adresse : http://codexvirtualis.fr/codex/de-lorganisation-interne/premiers-pas-histologiques)
• Burkitt H.G., Young B., Heath J.W., 1993 – Histologie fonctionnelle Wheater. Arnette, 408p. Paris
• Heusser S., Dupuy H.G., 2015 – Atlas biologie animale. Dunod, 220p. Paris
• Leake L. D., 1975 – Comparative histology, an introduction to the microscopic structure of animals. Academic press, 738p. London, New York, San Francisco
• Newell G.E., 1950 – The role of the coelomic fluid in the movements of earthworms. Journal of Experimental Biology, 27 : 110-122 (adresse : http://jeb.biologists.org/content/27/1/110)
Article au format pdf
