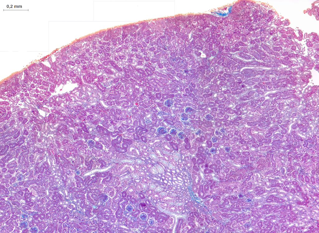
Les régions rénales : lobules, cortex et médulla
Le rein de Poulet permet d’illustrer l’organisation du rein des Oiseaux dans une perspective de comparaison avec le rein des Mammifères.

Une coupe histologique révèle que le rein de Poulet est formé d’unités appelées lobules, délimitées par du tissu conjonctif fibreux.
Chaque lobule est constitué d’une région périphérique, qualifiée de corticale, et d’une région centrale, dite médullaire.
Les régions médullaires des lobules voisins sont groupées et convergent en une structure conique ouverte sur l’uretère.
Le néphron : capsule de Bowman et tubule urinaire

À l’instar du rein des Mammifères, le rein de Poulet est formé d’unités structurales et fonctionnelles, les néphrons. Ils sont constitués d’une capsule de Bowman et d’un tubule urinaire.
La capsule de Bowman est une structure sphérique creuse, délimitée par une double enveloppe. L’enveloppe externe correspond au feuillet pariétal et l’enveloppe interne au feuillet viscéral, entre lesquels un espace dit de Bowman est ménagé.
Le tubule urinaire comporte trois régions, le tubule proximal, le tubule intermédiaire et le tubule distal. Il débouche sur le tubule collecteur ouvert sur un canal collecteur par l’intermédiaire d’un tube collecteur.
Les néphrons constituant le rein de Poulet sont au nombre de 600 000 environ.
Le néphron : relations avec l’appareil circulatoire
Chaque rein de Poulet est constitué de 3 lobes, antérieur, moyen et postérieur.
Il est irrigué par une artère rénale acheminant le sang hématosé et pénétrant dans le lobe antérieur. Des veines rénales afférentes apportent le sang non hématosé de la région postérieure du corps notamment de la queue et des pattes, et pénètrent dans les lobes moyen et postérieur.
Le sang circulant dans le rein est drainé par une veine rénale efférente.

L’artère rénale se ramifie dans le rein en vaisseaux de diamètre de plus en plus réduit, et finalement en artérioles glomérulaires afférentes.
Chaque artériole afférente pénètre dans une capsule de Bowman où elle donne naissance à un bouquet de vaisseaux capillaires, le glomérule.
Une artériole glomérulaire efférente en émerge. Elle est à l’origine de vaisseaux capillaires courant à proximité du tubule urinaire, en particulier des vaisseaux droits.
Ils convergent pour former des veines de diamètre de plus en plus important, et finalement la veine rénale efférente.
L’ensemble capsule de Bowman et glomérule constitue un corpuscule de Malpighi.
Les veines rénales afférentes pour leur part se ramifient dans le rein en veines interlobulaires, courant dans les cloisons conjonctives isolant les régions corticales des lobules.
Chaque veine interlobulaire se divise en vaisseaux de plus en plus fins jusqu’à constituer des vaisseaux capillaires associés aux tubules urinaires d’un lobule, avant de converger vers une veine qualifiée de centrale, située au cœur de la région corticale du lobule.
Les veines centrales débouchent finalement dans la veine rénale efférente.
Ensemble, les veines rénales afférentes, les vaisseaux capillaires qui en sont issus et la veine rénale efférente d’un rein forment un dispositif appelé système porte.
La distribution des corpuscules de Malpighi et des tubules dans le rein
La région corticale des lobules comporte des corpuscules de Malpighi, des tubules contournés proximaux et distaux ainsi que des tubules collecteurs.
Leur région médullaire comprend des portions droites des tubules proximaux et distaux, des anses de Henlé ainsi que des tubes et canaux collecteurs, associés à des vaisseaux droits.
Ces structures sont entourées de tissu conjonctif fibreux constituant l’interstitum rénal.
En conséquence, les organisations des régions corticales et médullaires du rein des Oiseaux diffèrent.
