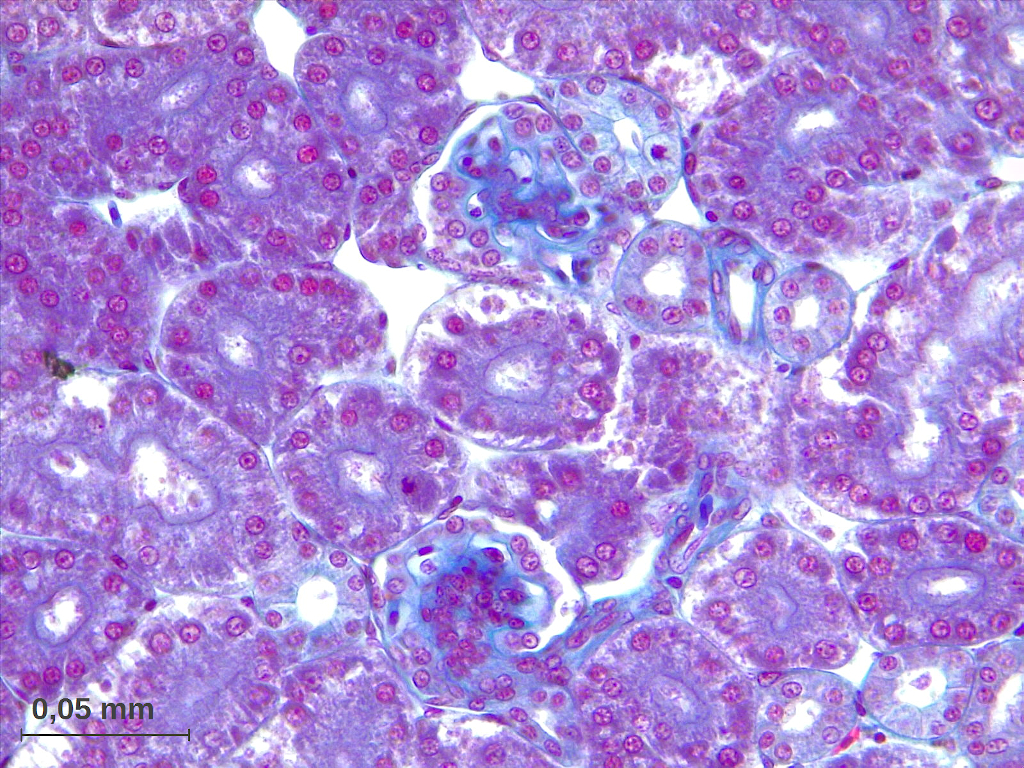
Les régions du tubule urinaire
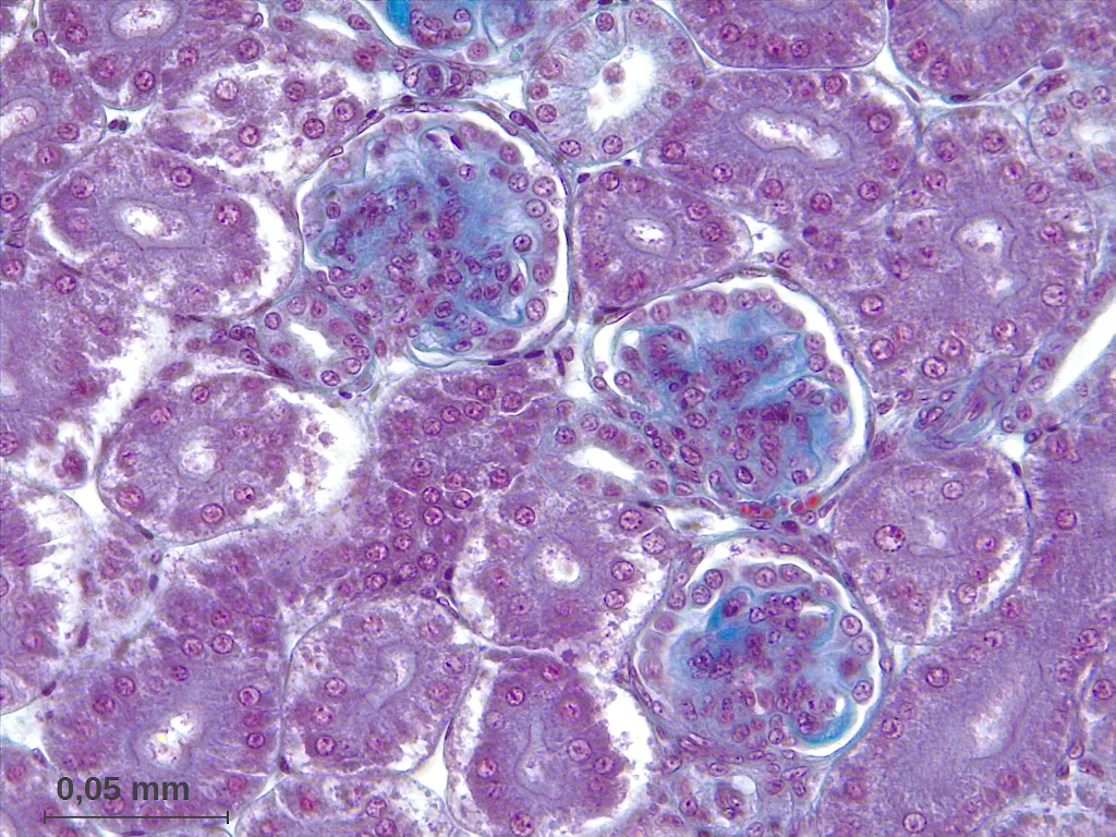
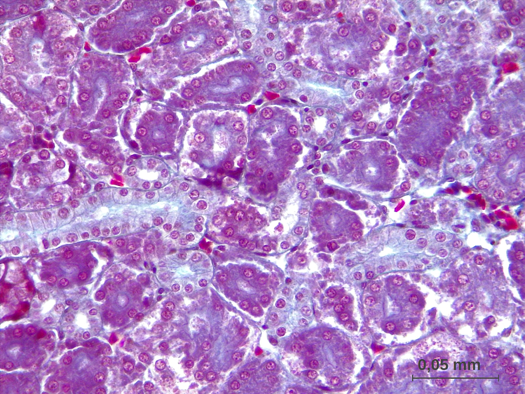
Dans la région corticale des lobules rénaux, les corpuscules de Malpighi sont entourés de sections de tubules urinaires.
Elles relèvent de 2 types principaux :
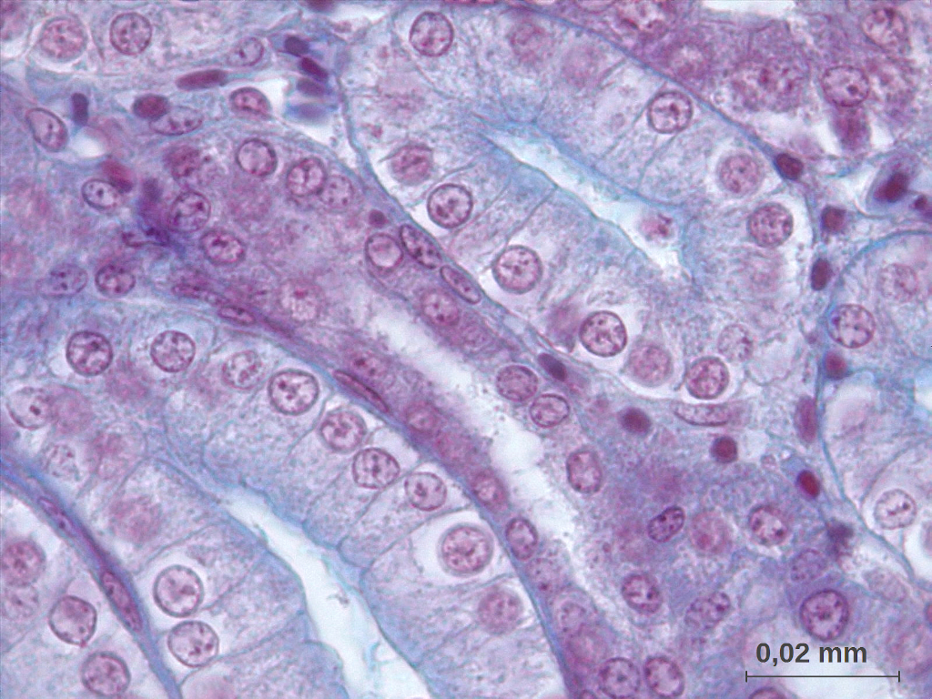
• les tubules contournés proximaux, bordés par un épithélium simple cubique à prismatique, possédant une bordure en brosse apicale ;
• les tubules contournés distaux, délimités par un épithélium simple et cubique, dépourvu de bordure en brosse.
Des tubules collecteurs sont également présents, caractérisés par un épithélium simple et prismatique, possédant des granulations apicales mais dépourvu de bordure en brosse.
La région médullaire des lobules rénaux est subdivisée en deux zones :
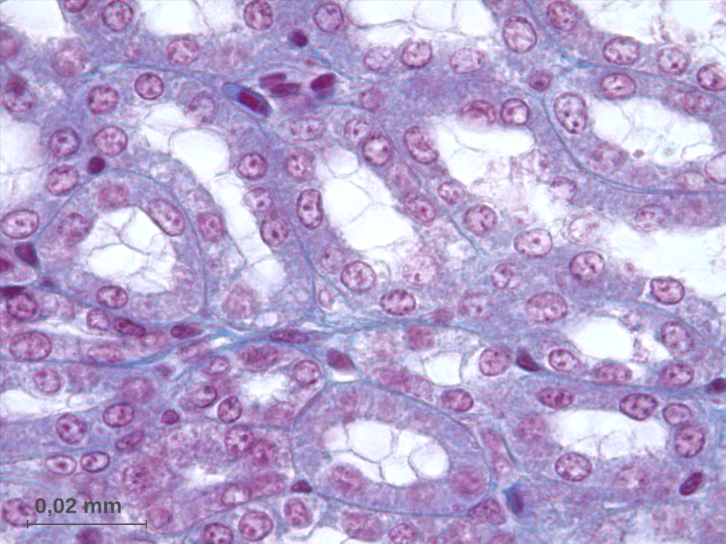
• en périphérie, elle comporte majoritairement des sections de tubules proximaux et de tubes collecteurs ;
• au centre, elle présente essentiellement des sections de tubules distaux et de tubules intermédiaires.
Les portions de tubules proximaux et distaux de la région médullaire apparaissent rectilignes, à la différence de celles de la région corticale qui sont contournées.
Les tubes collecteurs résultent de la convergence des tubules collecteurs et ont une organisation semblable. Leur épithélium est cependant plus haut et les granulations apicales plus abondantes.
Les tubules intermédiaires apparaissent de diamètre réduit et bordés par un épithélium simple, cubique à pavimenteux. Ils constituent des anses de Henlé.
Qu’il s’agisse des régions corticales ou des régions médullaires, les constituants du néphrons et le système collecteur sont entourés de l’interstitium rénal, formé de tissu conjonctif fibreux dans lequel courent de multiples vaisseaux sanguins.
La diversité des néphrons : types « reptilien » et « mammalien »
Les corpuscules de Malpighi apparaissent distribués dans la région corticale des lobules, autour des veines efférentes d’une part et des régions médullaires d’autre part.
Les premiers peuvent être qualifiés de périphériques et les seconds de centraux.
Les corpuscules de Malpighi périphériques et centraux diffèrent par leurs dimensions : les premiers sont plus petits que les seconds, avec des diamètres respectifs de l’ordre de 70 et 80 µm.
Dans la région corticale superficielle, les néphrons présentent des corpuscules de Malpighi de diamètre réduit et des tubules urinaires subdivisés en un tubule contourné proximal et un tubule contourné distal reliés directement l’un à l’autre. Le tubule intermédiaire est absent.
Leur tubule urinaire est court, ne comporte pas d’anse de Henlé et est exclusivement situé dans la région corticale des lobules rénaux.
En revanche, dans la région corticale profonde, les néphrons sont associés à des corpuscules de Malpighi volumineux et possèdent des tubules urinaires comportant un tubule contourné proximal et un tubule contourné distal entre lesquels est intercalé un tubule intermédiaire bien développé. Il court entre les régions droites du tubule proximal et du tubule distal, et forme une anse de Henlé.
Les portions droites des tubules proximal et distal ainsi que l’anse de Henlé sont localisés dans la région médullaire des lobules rénaux.
Le premier type de néphron est dit « reptilien » en raison de son organisation similaire à celle des néphrons des Lépidosauriens, le second « mammalien » en raison de sa ressemblance avec le néphron des Mammifères décrit dans la page Le rein des Mammifères de Codex virtualis.
La production de l’urine
Le feuillet pariétal de la capsule de Bowman est représenté par un épithélium simple et pavimenteux. Il est en continuité avec un feuillet viscéral formé de podocytes étroitement appliqués sur les vaisseaux capillaires du glomérule. L’espace de Bowman ménagé entre les deux feuillets contient de l’urine.
De même que pour les Mammifères, le corpuscule de Malpighi assure la formation de l’urine par ultrafiltration du sang.
Le sang circulant dans les vaisseaux sanguins capillaires du glomérule, apporté par l’artériole afférente, est filtré à travers la paroi des vaisseaux et le feuillet viscéral de la capsule de Bowman.
Le liquide en résultant est recueilli dans l’espace de Bowman. Il s’agit de l’urine primitive.
Les tubules proximaux et distaux sont responsables de modifications de la composition de l’urine qui y circule, par des échanges de diverses substances avec l’interstitium, consistant en des réabsorptions et des sécrétions.
Si les néphrons de type « reptilien » produisent une urine dont la concentration osmotique est légèrement inférieure à celle du plasma, les néphrons de type « mammalien » élaborent une urine dont la concentration osmotique est supérieure à celle du plasma, multipliée par un facteur généralement compris entre 2 et 5 selon les espèces.
Des modifications de la composition de l’urine sont par ailleurs réalisées hors du rein, dans le cloaque où débouchent les uretères. Elles consistent en des réabsorptions d’eau, d’ions sodium et chlorures.
Finalement, l’urine définitive émise dans le milieu possède souvent une consistance pâteuse. Le principal déchet azoté éliminé est l’acide urique, très concentré dans l’urine.
Pour d’autres descriptions en images, consulter les articles de Codex virtualis des :
• semaine 47-2017, corpuscule de Malpighi de rein de Poulet ;
• semaine 48-2017, corpuscule de Malpighi de rein de Poulet ;
• semaine 49-2017, tubules contournés proximal et distal de néphron de Poulet ;
• semaine 50-2017, tubes collecteurs et tubules distaux droits de rein de Poulet ;
• semaine 51-2017, région médullaire de rein de Poulet ;
• semaine 52-2017, régions corticale et médullaire de rein de Poulet.
Pour en savoir plus, consulter :
• les pages Premiers pas histologiques de Codex virtualis (adresse : http://codexvirtualis.fr/codex/de-lorganisation-interne/premiers-pas-histologiques)
• Beaumont A., Lahlou B., Mayer-Gostan N., Payan P., 2000 – Osmorégulation et excrétion. Belin Sciences sup, 256p. Paris
• Burkitt H.G., Young B., Heath J.W., 1993 – Histologie fonctionnelle Wheater. Arnette, 408p. Paris
• Heusser S., Dupuy H.G., 2015 – Atlas biologie animale. Dunod, 220p. Paris
• Johnson O.W., Mugaas J.N., 1970 – Some histological features of avian kidneys. American journal of anatomy, 127, 4 : 423-435 (adresse : https://onlinelibrary.wiley.com/doi/abs/10.1002/aja.1001270407)
DOI : 10.1002/aja.1001270407
• Siller W.G., 1981 – Renal pathology of the fowl — A review. Journal avian pathology, 10, 3 : 187-262 (adresse : https://www.tandfonline.com/doi/abs/10.1080/03079458108418474)
DOI : 10.1080/03079458108418474
• Wideman R.F. Jr, Braun E.J., Anderson G.L., 1981 – Microanatomy of the renal cortex in the domestic fowl. Journal of morphology, 168, 3 : 249-267 (adresse : https://onlinelibrary.wiley.com/doi/abs/10.1002/jmor.1051680302)
DOI : 10.1002/jmor.1051680302
